Hvad er en dentininfraktion?
En dentininfraktion er en revne i tandbenet (dentinen) inde under emaljen, der ikke kan ses udefra, og som kan få tanden til at gøre ondt. Det kan være svært for både dig selv og tandlægen at finde ud af, hvilken tand det er galt med. Mange mennesker har revner i emaljen, som kan ses på tændernes overflade, men disse volder normalt ikke problemer.
Hvordan føles en dentininfraktion?
Nogle tænder med revner kan du ikke mærke. Men når en tand med revne begynder at gøre ondt, vil du mærke en smerte, når du tygger sammen på noget hårdt eller sejt, eller når du slipper sammenbiddet, fx hvis du bider i en brødkerne eller en karamel.
Det kan også gøre ondt, når der kommer noget koldt på tanden. Der kan gå uger eller måneder imellem, at smerten udløses, fordi du uvilkårligt vil undgå at tygge med den tand, der har en revne. Det er ofte svært at udpege, hvilken tand det drejer sig om.
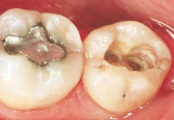
Tilsyneladende sunde tænder med mindre fyldninger. Den ene gør ondt engang imellem, når der tygges på noget hårdt eller sejt.
Når fyldningen er væk, ses en tydelig revne i tandbenet.
Kan tandlægen se en dentininfraktion?
Udefra ser tanden sund og rask ud. Der er ofte en fyldning i tanden, men tandlægen kan ikke se revnen, før fyldningen er fjernet - heller ikke på et røntgenbillede. En bideprøve med en særlig bidepind kan ofte afsløre, hvilken tand det drejer sig om. Lykkes det ikke at finde revnen på denne måde, vil tandlægen i nogle tilfælde se tiden an og opfordre dig til at være opmærksom på, hvilken tand det gør ondt i, når du tygger, eller når der kommer noget koldt på. Hvis du har mange smerter, kan tandlægen fjerne fyldningen i den mest mistænkte tand for at søge efter revnen.
Hvorfor opstår en dentininfraktion?
Der er flere årsager til, at tænder kan revne. Først og fremmest skyldes det, at tænderne kan blive svækkede efter mange års brug. Man siger, at revner er en form for træthedsbrud i tanden.
Hvor opstår en dentininfraktion?
En revne kommer der, hvor tanden er svagest. Det sker oftest i en kindtand, som er svækket, fordi der har været caries i tanden. Jo større fyldningen er, og jo mindre tandsubstans der er tilbage, jo lettere kommer der en revne. Kun i sjældne tilfælde ses revner i sunde, ubehandlede tænder. Har du allerede én tand med en revne, kan du være disponeret for at få revner i andre tænder.

Kan dentininfraktionen gå væk af sig selv?
En revne i en tand kan aldrig hele.
Hvad sker der, hvis en symptomgivende dentininfraktion ikke behandles?
Tandens nerve kan tage skade, så det i visse tilfælde bliver nødvendigt at rodbehandle tanden. En revne kan også føre til, at tanden flækker. Hvis der kun brækker en lille del af tanden, kan den bygges op igen. Men flækker hele tanden, skal den trækkes ud.
Mange års tygning har belastet tanden, så den svageste del er knækket.
En revne i tandens tyggeflade udviklede sig til, at hele tanden flækkede på langs og måtte trækkes ud.
Hvornår skal dentininfraktioner behandles?
Mange mennesker har revner i tænderne uden at vide det og uden nogensinde at få problemer med dem. Men begynder en tand at gøre ondt, skal den behandles.
Hvordan kan tandlægen behandle en dentininfraktion?
Når tandlægen har lokaliseret revnen, er målet med behandlingen at stabilisere tanden, så revnen ikke giver sig, når du tygger. Har der kun været en lille fyldning i tanden, kan tandlægen lime den sammen med en plastfyldning og beslibe tyggefladen, så den svage del af tanden ikke belastes for hårdt. Det er i nogle tilfælde tilstrækkeligt til at behandle revnen.
Revner i en kindtand, hvor der tidligere har været en mindre fyldning.
Tanden er her limet sammen med en plastfyldning.
Revne i en lille kindtand, hvor der tidligere har været en stor fyldning.
Her er revnen holdt sammen med en guldkrone.
Har der været en stor fyldning i tanden, eller er tanden kraftigt belastet ved tygning, er det nødvendigt at omslutte tanden med fx en krone af metal eller porcelæn for at holde den sammen.
Har tandnerven taget skade, skal tanden rodbehandles, før den endelige behandling udføres. I enkelte tilfælde kan revnen være så uheldigt placeret, at tanden flækker helt, måske endda midt i behandlingsforløbet. I det tilfælde er der kun én løsning; nemlig at trække tanden ud.
Hvad kan du gøre for at forebygge dentininfraktioner?
- Undgå at få caries. Revner i tænder uden fyldninger ses meget sjældent.
- Udskiftning af fyldninger bør ske så sjældent som muligt, fordi der forsvinder lidt af tanden, hver gang en fyldning udskiftes.
- Har du meget store fyldninger i dine kindtænder, kan det være en god idé at få dem behandlet med et stærkere materiale end plast. Det kan fx være metal eller porcelæn.
- Oprethold en god mundhygiejne. God mundhygiejne hjælper også med til, at gamle fyldninger holder længere. Spørg din tandlæge, hvordan du bedst holder dine tænder rene.
HUSK
Har du en tand med en revne, der gør ondt, må du have tålmodighed og indstille dig på, at det kan tage tid og være forbundet med både ubehag og omkostninger, før tanden er færdigbehandlet.
Kontakt din tandlæge, hvis du har mistanke om, at du har en revne i en tand.