Når det gælder misfarvning af tænder, er kaffe, te, rødvin og cigaretter nogle af de største syndere. Men tændernes farve kan også ændres som en naturlig del af det at blive ældre, fordi emaljen slides, og tandbenets varme farve skinner igennem. Misfarvning kan også forekomme, hvis emaljen ætses væk i forbindelse med et stort forbrug af læskedrikke eller frugt. Tænder kan ligeledes se misfarvede ud, hvis de har store gamle fyldninger, er snavsede eller sidder på en speciel måde i tandrækken, og her hjælper blegning ikke.
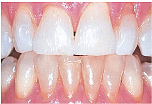
Blegede tænder i overkæben
Det aktive stof i tandblegemidler er brintoverilte. Det trænger ind i tanden og kan fjerne eventuelle farvestoffer, der er trængt ind. Det er imidlertid vanskeligt at forudsige, hvor godt en blegning vil virke, og man skal bestemt ikke regne med altid at få det helt store tandpastasmil bagefter.
Desværre opløses der ganske lidt af tandens emalje, hver gang der bleges, og behandlingen må derfor ikke gentages for ofte. Opløst emalje gendannes ikke ligesom håret på hovedet, der blot vokser ud igen, hvis det bliver ødelagt af blegning.
Man skal passe meget mere på tandemaljen, og det er vigtigt, at en tandlæge vurderer, om en blegning er mulig – altså om misfarvningen skyldes, at der er trængt farvestoffer ind, og om emaljen kan tåle behandlingen.
Mange får lidt ondt i tænderne, mens der bleges, og det kan specielt være slemt, hvis man i forvejen har følsomme tandhalse. Det kan være nødvendigt at stoppe behandlingen eller holde en pause undervejs. Heldigvis holder isningerne som regel op efter et par dage.
Efter en blegning vil tænderne i de første dage være mere modtagelige for nye farvestoffer. Holdbarheden af en blegning afhænger af, hvor mange farvestoffer tænderne udsættes for. En genblegning kan blive aktuel efter 2-3 år.
Blegning hjemme
Blegning hjemme foregår ved hjælp af en præcist tilpasset blegeskinne, som man får med hjem fra tandlægen sammen med blegemidlet. Den fremstilles ud fra et aftryk af dine tænder, så den passer lige præcist til dig. Det er vigtigt at følge tandlægens vejledning nøje, og man skal specielt passe på, at blegemidlet ikke kommer på tandkødet eller ned i maven. En hjemmeblegning tager oftest 2-3 uger, hvor skinnen med blegemidlet sidder på tænderne i 1-2 timer om dagen eller hele natten. Man bør aldrig blege tænder hjemme uden først at have talt med en tandlæge.
Den ene fortand er misfarvet, fordi den er rodbehandlet
Efter en blegning indefra i tanden, som blev sat i gang hos tandlægen, lykkedes det i løbet af tre uger at lysne tanden.
Blegning på tandklinikken
Kosmetisk tandblegning med en brintoveriltekoncentration på mere end 6%, som gør det muligt at blege på kortere tid hos tandlægen, er ikke længere tilladt inden for EU.
Regler fra Sundheds- og Miljøstyrelsen
- Blegning af tænder skal altid foregå med indledende undersøgelse og information hos en tandlæge
- Herefter kan blegning foregå hjemme hos den enkelte person
- Det er ikke tilladt at blege tænder med brintoverilte hos frisør eller kosmetolog
- Tandblegemidler med mere end 0,1% brintoverilte må ikke sælges i håndkøb i Danmark (mindst 3% er nødvendig for at blege tænder)
- Blegning af tænder må ikke udføres på unge under 18 år
- Personen skal have betænkningstid på min. 2 dage, før blegning må udføres
- Der skal tages et klinisk foto hos tandlægen før og efter behandling.
Gode råd om tandblegning
- Bleg kun tænder, hvor det er nødvendigt.
- Hvis du har behov for tandblegning, så tal med din tandlæge om, hvorvidt tænderne kan bleges, og eventuelle bivirkninger.
- Ved hjemmeblegning følges tandlægens blegeanvisninger nøje.
- Gentag kun blegning sjældent.
- Køb aldrig blegemidler på nettet! De er oftest ulovlige og kan indeholde stoffer, der skader dine tænder.
- Hvis man er solbrændt eller bruger mørk læbestift, ser tænderne lysere ud.
| Fakta on blegning - PDF-version - Råd, tips og regler. Klik her for at downloade |
|
Gode tips fra Miljøstyrelsen
LÆS MERE Miljøstyrelsens tips til forbrugerne om tandblegning Miljøstyrelsens rapport "Kortlægning og risikovurdering af tandblegeprodukter til privat brug" |